28.12.2023 , 09:04

" Буғумҳо фарсуда шудаанд! Ман амалан маъюб шудам. Ягона чорае, ки маро начот дод... — Иосиф Клима

Иосиф Клима одами бузург буд, худро дар аробачаи маъюбӣ аз касалии буғумҳо ва аз артроз хароб кард, ин ба ӯ кӯмак кард, ки ба по баргардад.

изображение

Йозеф Клима
- рӯзноманигори аврупоӣ, нависанда ва рӯзноманигори телевизион, ва яке аз асосгузорони журналистикаи таҳқиқотии аврупоӣ аст.

Эзоҳи муҳаррир: Ҳатман то охир хонед! Илова бар ин, мусоҳиба бо коршинос, доктори илмҳои тиббй Владимир Бенес, ки дар он ӯ ба шумо ростқавлона нақл мекунад, ки чӣ гуна зуд ва самаранок барқарор кардани буғумҳо ва дардро то абад фаромӯш кардан мумкин аст!

Мухбир: Салом, Иосиф Клима. Ташаккур ба шумо барои розӣ шудан ба мусоҳибаи истисноӣ. Дар бораи саломатии шумо бисёр гап мезананд. Баъзеҳо ҳатто даъво доранд, ки шуморо дар аробачаи маъюбӣ дидаанд. Оё ҳамаи ин воқеан дуруст аст?

Йозеф Клима: Руз ба хайр. Мутаассифона, ин сохтакорӣ нест. Ман дар аробачаи маъюбӣ будам, ҳарчанд кӯтоҳмуддат бошад.

Ҳатто чанд моҳ дар аробачаи маъюбӣ барои ман кофӣ буд, ки тамоми «сеҳргари»-и чунин зиндагиро эҳсос кунам.

Мухбир: Чӣ шуд? Чӣ тавр шумо ба аробачаи маъюбӣ афтодед?

изображение

Йозеф Клима: Касби ман машқҳои аз ҳад зиёди ҷисмониро дар бар мегирад. Махсусан ин вазбинӣ ба буғумҳои пойҳои таъсири худро мерасонад.Машғулиятҳои чандинсолаи ба узвхои ман солимӣ набахшид ва чуноне ки як мутахассис гуфта буд, «Бугумхои шумо ба хароба табдил ёфт».

Шуниданаш даҳшатнок буд! Ин маънои анҷоми касб ва маъюбии дар пешистодаи ман буд.

Аммо баъд ман ҳанӯз тамоми хатарҳоро дарк накардам. Вай рақсро идома медод, дар намоишҳои гуногун ширкат мекард ва ба пешниҳоди театрҳои ҷаҳонӣ барои ба гастрол омадан розӣ шуд. Ва ин хатои калон буд.

изображение

Пеш аз баромадан ба саҳна доруҳои зидди дард истифода мекардам ва пас аз намоиш бастаҳои доруро фурӯ мебурдам, то хобам бараду дардро ҳис накунам

Зонуҳоям қариб аз хам шудан монданд. Тағоям чунон варам мекард, ки кафшҳоямро кашида наметавонистам. Базӯр ҳаракат кардам, вале корамро идома додам. Аммо ман натавонистам шогирдонамро тарк карда, намоишҳои пешбинишударо бекор кунам. Коршиносон ба ман кор карданро манъ карданд, ман бо аробачаи маъюбӣ таваккал кардам. Аммо ман ба гапи касе гӯш надодам, ба мушкилот вокуниш нишон надодам ва пули онро бо аробача пардохт кардам...

Ман ҳоло мехоҳам ба ҳама муроҷиат кунам! Хатогиҳои маро такрор накунед! Агар буғумҳои шумо дард кунад, ин ҷиддӣ аст! Беморӣ хеле зуд пеш меравад ва метавонад шуморо дар тӯли шаш моҳ маъюб кунад!

Мухбир: Оё шумо бо мутахассисон мурочиат кардаед? Оё шумо ягон дору гирифтед?

Йозеф Клима: Бале, ман бо коршиносон сӯҳбат кардам. Ба ман маҳсулоти гаронбаҳои хориҷӣ фармоиш доданд. Ҳар дафъа ман умедвор будам, ки ин доруи олмонӣ ё австриягӣ ба ман кӯмак мекунад, аммо натиҷае набуд. Ман барои малҳамҳо, доруҳо, сӯзандоруҳо, табобат пули зиёд сарф кардам - аммо ҳамааш бефоида.

Доруҳои гаронбаҳо ба ман кӯмак накарданд, мисли мардуми одӣ, ки маҷбуран бо дору табобат карда, ба дармонгоҳҳои ноҳиявӣ муроҷиат мекунанд. Ман ба ҳоли онҳо самимона ғамгинам...

изображение

Вақте ки ман худро дар аробачаи маъюбӣ дидам, иқрор мешавам, ки ман фикр мекардам, ки таслим шавам. Ба растании бечора мубаддал мегардед, ба сари наздиконатон бори гарон мешавед, худатон ба ҳоҷатхона рафта наметавонед (ба тафсилот мебахшед), оббозӣ кардан, хӯрок пухтану...

Эҳсоси нафратовар, худро ба касе даркор намешуморидам, нолозим, фаромушшуда ва танҳо будам. Дӯстонам занг заданро бас карданд, ҳама маро фаромӯш карданд... Ба афсурдагӣ афтодам, бе кӯмаки беруна баромада наметавонистам. Ман намехостам, ки касе маро дар аробачаи маъюбӣ бубинад. Друзья перестали мне звонить, все обо мне забыли... Я впала в депрессию, не могла выйти без посторонней помощи. Я не хотел, чтобы кто-нибудь видел меня в инвалидной коляске.

Беморӣ, дард, танҳоӣ, нотавонӣ - ин воқеан даҳшатнок аст! Ҳатто душмани ашаддиам инро намехоҳад!

Мухбир: Шумо чй тавр аз аробачаи маъюбй баромада тавонистед? То ҷое, ки ман медонам, шумо ба касб баргаштед ва баргузории намоишҳои нав доред?

Йозеф Клима: Мӯъҷиза ба ман кӯмак кард! Дигар хел гуфта наметавонам. Такдир маро бо коршинос доктор Владимир Бенешм рӯ ба рӯ кард. Ман дар бораи ӯ қаблан шунида будам. Ва он гоҳ дӯсти хубам рақами телефонашро ба ман дод. Ман занг задам ва доктор Владимир Бенеш маро кабул кард.

Ӯ ба ман гел дод ва гуфт, ки он аз ҷузъҳои нодир асос ёфтааст ва ниҳоят камчин аст. Рости гап, ман аллакай бисёр чизҳоро санҷида будам ва бовар надоштам, ки ин табобат ба ман кӯмак мекунад. Аммо пас аз чанд рӯз ман худро хеле беҳтар ҳис кардам.

Мухбир: Факат ба шарофати гел?

Йозеф Клима: Бале, ман ҳам мутаассир шудам. Буғумҳоям аз " тобхурӣ" монданд, дард кам шуд ва ман бори аввал дар тӯли моҳҳои зиёд хоб рафтам. Ва ҳар рӯз ман худро беҳтар ва беҳтар ҳис мекардам. Пас аз ду ҳафта, ман тавонистам, ки аз бистар бархезам ва деворро дошта ба ҳоҷатхона равам. Ин як ғалабаи воқеӣ буд! Ва ин табобатро ба ман доктор Владимир Бенеш додааст, ман ба ӯ ташаккур гуфта наметавонам!

Дар давоми моҳ ман метавонистам дар хона ҳаракат кунам. Пойҳоям дард намекарданд, варам кам шуд. Дард қариб аз байн рафта буд, ҳаракати ман баргашт ва зонуҳоямро хам карда метавонистам.

изображение

Мухбир: Ман хеле шодам, ки хамааш ба хубӣ паси сар шуд! Нақшаҳои шумо барои оянда чӣ гунаанд? Шумо дар ояндаи наздик моро бо чӣ хурсанд хоҳед кард?

Йозеф Клима: Ман нақшаҳои зиёде дорам! Ба наздикӣ дар сахнаи театри миллӣ саҳнагузории нав пайдо мешавад, ки ман бевосита дар он иштирок мекунам. Намоиш «Эҳтиёткории бефоида» номида мешавад. Ман хеле шодам, ки ҳамаро даъват мекунам! Дар баҳор боз ду нахустнамоиши калонеро ба нақша гирифтам, аммо ҳоло ин сир аст.

Мухбир: Ташаккури зиёд, Йозеф Клима, барои сухбати самимона! Саломат бошед ва то ҳадди имкон моро бо эҷодиёти худ шод гардонед!

Йозеф Клима: Сипос. Ба ҳама саломатӣ орзумандам - ​​ин чизи муҳимтарин дар ҳаёт аст!


Мо бо коршинос Йозеф Клима — доктор Владимир Бенес вохурда, дар бораи касалихои бугум сухбат кардем. Доктори илмҳои тибби Владимир Бенеш гуфт:

Чӣ тавр худро аз аробачаи маъюбӣ муҳофизат кардан мумкин аст ва аз артроз, артрит, остеохондроз ва дигар бемориҳои буғумҳо зуд халос шавед.

изображение

Доктори илмҳои тиб Владимир Бене
- доктори илмҳои тиб, муаллифи усули кинезитерапияи профилактикӣ ва кор бо узвҳои ва системаи мушакхо.

Мухбир: Салом, доктори илмхои тиб. Владимир Бенеш! Тибқи маълумоти як клиникаи мустақил, ҳар як нафари сеюм дар кишвари мо аз бемориҳои буғумҳо азоб мекашанд. Сабаби ин «эпидемия» чист?

Доктори илмҳои тиб Владимир Бенеш Рӯз ба хайр. Мутаассифона, шумо дуруст мегӯед. Шумораи бемориҳои буғумдард бо суръати баланд меафзояд. Ва агар қаблан беморони ман асосан пиронсолон буданд, имрӯз ҷавонони аз 30 то 40-сола бештар ба ман муроҷиат мекунанд.

Ва бадтаринаш он аст, ки дар кишвари мо мардум омода нестанд, ки ба саломатии худ эътибори ҷиддиӣ диҳанд. Беморон то охир тоқат мекунанд, вақте ки аллакай аз дард хаста шуда, имкони зиндагии муътадилро аз даст медиҳанд, назди ман меоянд. Ба дорухона рафта маҳлули диддидардӣ харида ва буғуми дардмандро молиданаш қуллайтар аст, - ва сипас ба боғ ва сайругашт бармегардед!

Инро дар хотир доред! Доруҳои фармасевтӣ танҳо аломатҳоро ниқоб мекунанд. Онҳо мушкилотро ҳал намекунанд ва артроз ва артритро бартараф намекунанд. Шумо танҳо вақти худро беҳуда сарф мекунед ва ба маъюб шудан наздик мешавед!

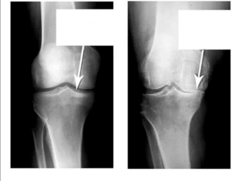
Ба ин суратхо нигаред, мебинед, ки дар расми рост ягон фосилаи бугум вучуд надорад, устухонхо ба хам мемоланд ва боиси дарди сахт мегарданд. Ва боздоштани ин раванд хеле душвор аст! Пас аз чанд сол одам маъюб мешавад ва худро таъмин карда наметавонад.

изображение

Мухбир: Сабабхои бемориҳои буғумдард дар чист?

Доктори илмҳои тиб Владимир Бенеш Пеш аз ҳама, ин осеб ва бори вазнин аст. Вазни зиёдатӣ инчунин ба буғумҳои шумо фишори бештар меорад. Камҳаракатӣ, стресс, миқдори намак ва шакар дар ғизо - ҳамаи ин бофтаи пайҳоро нарм мекунад, онро фарсуда мекунад ва борик мекунад. Бо ҳар як ҳаракати нав пойҳо коста шуда, деформатсия мешавад, устухонҳо ба ҳамдигар мекӯбанд, ки боиси дарди шадид мегардад .

изображение

Артрит ва остеоартрит пас аз 3-5 соли сар задани беморӣ боиси маъюбӣ шуда, умри беморонро 15-20 сол кам мекунад!

Мутаассифона, аксари беморон нишонаҳои аввалини бемориро эътибор надода, ҳама чизро ба ҳоли худ гузошта, вақте ки дер шудааст, баъдан ба мутахассисон муроҷиат мекунанд. Ман зуд-зуд ба худтабобаткунӣ дучор мешавам, баъзан бо усулхои бефоидатарин, масалан, бо барги карам бугумхоро печондан, асал молидан ва гайра.

Бо артроз ва артрит шӯхӣ накунед! Бемории буғумдард шуморо дар муддати камтар аз 3 сол ба аробачаи маъюбӣ мегузорад!

Мухбир: Кай вақти изтироб аст? Аломатҳои огоҳкунанда кадомҳоянд?

Доктори илмҳои тиб Владимир Бенеш Аломатҳо ба монанди:

Мухбир: Ба одамон чӣ тавр ёрӣ расондан мумкин аст? Мо медонем, ки шумо ба Аглае Кински барои аз аробачаи маъюбӣ баромадан кӯмак кардед. Лутфан ба ман дар бораи он нақл мекардед.

Доктори илмҳои тиб Владимир Бенеш Илм дигар он чизе нест, ки қаблан буд. Имрӯзҳо асбобҳои инноватсионӣ мавҷуданд, ки метавонанд корҳои зиёдеро иҷро кунанд. Ва ҳатто шуморо аз аробачаи маъюбӣ мебардорад. Аммо, мутаассифона, чунин доруҳо дар клиника дастрас нестанд ва шумо онҳоро аз дорухона харида наметавонед.

Оё ба Шумо муфид аст, фурӯши чизе,ки аз дарди буғум ҳамеша раҳо мекунад? Не, фурӯхтани маҳсулоте, ки беморон ба он одат кардаанд ва пайваста истифода мебаранд, барояшон фоидаовар аст.

Мутаассифона, дорухонаҳо тиҷоратанд. Мағозае, ки сосакҳо мефурӯшад, ки ба табобати буғумҳо кумак намекунанд, балки аз беморон пул мегиранд.

Мухбир: Дар бораи кадом воситахои таъсирбахш сухан меронед? Аглае Кински чӣ ёрӣ расонд?

Доктори илмҳои тиб Владимир Бенеш На танҳо ба хонум Аглае, балки ба ҳазорон мардуми оддӣ низ. Ман дар бораи гель Arteron сухан меронам. Ғайричашмдошт ва гуфтаниям ин тараққиёти револютсионии олимони мост. Ин креми комилан табиӣ аст, ки метавонад буғумро то ҳуҷайраҳояо барқарор кунад. Албатта, дар сурати ба итмом расидани табобат.

изображение Arteron бо тахфиф то 50%

Таркиби креми Arteron дорои компонентҳои биологӣ фаъол аст.

Ман ҳамаи онҳоро номбар намекунам, танҳо чандеро мегӯям.

Илова бар он, ки гелҳо илтиҳобро зуд ва самаранок рафъ мекунанд, ҳама равандҳои мубодилаи моддаҳоро барқарор мекунанд ва барқароршавии пайҳо ва буғумҳоро бармеангезанд, онҳо инчунин таъсири мукаммали шифобахш доранд:

Аз руйи натиҷа метавонам бигӯям, ки Arteron:

  1. Ин як доруи табиист, ки ба шумо кӯмак мекунад, ва аз дарди буғумҳою тахтапушт тӯли 1,5-2 моҳ дар хона бидуни мутахассис ё ҷарроҳӣ халос шавед.
  2. Маҳсулот дар сатҳи маҳаллӣ сертификатсия шудааст, комилан табиӣ аст ва ҳеҷ таъсири манфӣ надорад
  3. Он доираи таъсири васеъ аст ва ба буғумҳи бемор таъсири мураккаб дорад
  4. Барои истифода дар ҳолатҳои: артрит ва артрозҳои ҳама марҳилаҳо, илтиҳоб, тағйироти вобаста ба синну сол, ҷароҳатҳо, зиёдшавии стресс.
  5. Имрӯз Arteron — воситаи самаранок ва бехатари барқарорсозии саломатии буғумҳо мебошад .

Мухбир: Дар хакикат, таъсирбахш! Оё воқеан мумкин аст, ки чунин як доруи муассир ба дорухонаҳо нарасад ва мардуми оддӣ аз он истифода карда натавонанд?

Доктори илмҳои тиб Владимир Бенеш Тавре ки гуфтам, барои дорухонаҳо фурӯши маҳсулоте, ки пайваста буғумҳоро барқарор мекунад ва арзиши онҳоро 580-600% боло намебарад, фоида надорад. Arteron махз хамин гуна восита аст.

Таҳияи онро сохторҳои илмии давлатӣ анҷом додаанд, аз ин рӯ, дорухонаҳои хусусӣ ба ин маҳсулот таваҷҷӯҳ надоранд, ҳамон тавре ки ба саломатии мардуми оддӣ таваҷҷӯҳ надоранд.

Чаро ин рӯй медиҳад? Дар ҳоле ки мардум дар дорухонаҳо бефоида пулҳои зиёд сарф карда,боз аз дарди дахшатнок азият мекашанд, чунин «соҳибон»-и дорухона намехоҳанд маҳсулотеро ба бозор бароранд, ки роҳи ҳалли ин ҳама мушкилот бошад.

Мо, бешубха, бо вазъият мубориза мебарем, вале хозир мо бояд роххои васеъ кардани онро ҷустуҷу кунем. «Arteron» аз чумлаи онхоест, ки дар хакикат ба он эхтиёч доранд ва кушиш доранд, ки чунин тадбирхои дастгирикунандаро инкишоф диханд.

Мухбир: Шумо дар бораи кадом тадбирхои дастгиришуда сухан меронед?

Доктори илмҳои тиб Владимир Бенеш Ман дар бораи ширкатп мегӯям, ки истеҳсолкунанда Arteron дар ҳамкорӣ бо Вазорати тандурустии Аврупои ULV оғоз кардааст. Дар доираи ин чорабинӣ, ҳар касе, ки шартҳои тақсими имтиёзнокро иҷро мекунад, метавонад Arteron бо тахфифи 50% бигирад.

Мухбир: Ташаккур, доктори илмҳои тиб. Владимир Бенеш Мо ҳатман ҳама маълумоти заруриро барои хонандагони худ нашр хоҳем кард.

Шартҳои хариди гели Arteron дар фурӯш:

  1. Дар Тоҷикистон истиқомати доимӣ дошта бошед.
    Шаҳрвандоне, ки дар Тоҷикистон истиқомати доимӣ доранд, метавонанд аз он истифода баранд.
  2. Танҳо барои истифодаи шахсӣ
    Ин барои мубориза бо фурӯшандагоне аст, ки кӯшиш мекунанд маҳсулоти Arteron ба ҳаҷми зиёд харанд ва онро бо нархи баланд фурӯшанд.
  3. Шакли зерро пур кунед

ДИККАТ! Тадқиқотҳои охирин тасдиқ карданд, ки давраи мусоидтарин барои оғози истифодаи гели Arteron моҳҳои январь . мебоша. Тағйирёбии ҳарорат ба суръатбахшии мубодилаи моддаҳо ва барқароршавии зудтари буғумҳо мусоидат мекунад.

Танҳо ном ва рақами телефони худро ворид кунед.

Шитобед! Вақти боқимонда:


12 11

изображение
Нархи нав
350   TJS
Аз оператор ( или мушовир) арзиши интиқолро муайян кунед

Шарҳҳо:

изображение
Лилиана Попкова

Мо хеле хушҳолем! Ташаккур барои ин маҳсулот! Ман бо тахфиф фармоиш додам, ин қаллобӣ нест.

03.01.2024
изображение
Яна П.

Ман онро бо тахфиф фармоиш додам, умедворам, ки ин кӯмак мекунад. Дигар қувват надорам, аз артрит азият мекашам.

03.01.2024
изображение
Елена Греплова

Рӯз ба хайр. Ман медонам ин дарди ҷаҳаннамии буғумдардро. Пойҳоям сахт дард мекунанд. Ман аллакай тамоми воситаҳои дорухонаҳои гуногунро санҷидаам вале ҳолам бадтар шуд. Чунин ба назар мерасад, ки ман аллакай ноумед шуда, ба ин Arteron фармон додам. Ман онро ду ҳафта пеш аз почта гирифтам. Холо бошад сабуктарам. Оҳиста-оҳиста дар ферма кор мекунам.
изображение

03.01.2024
изображение
Людек Завадил

Arteron бисьёр шунидаам, шубха надорам, фармон медихам!

03.01.2024
изображение
Сабина Кочова

Дар Arteron курси пурраи табобатро тамом кардам. Ман худро тамоман дигар ҳис мекунам. Худро бист сол ҷавонтар ҳис мекунам. Зонуям дард намекунад, ман ҳама корро карда метавонам, ба дача ва ҷангал барои чиндани занбурўғ меравам. Олӣ, фаъол, воситаи беҳтарин ин Arteron аст! Дар ҳақиқат ба ман кӯмак кард!
изображение

03.01.2024
изображение
Верослав Песак

Адела, шумо занбурӯғҳои хуб доред! Онҳоро аз куҷо ёфтед? Ва гел хуб аст, ман ҳам барои худам ва модарам фармоиш додам, аз он истифода мебаранд.

03.01.2024
изображение
Сабина Кочова

Ёқуб, дар Душанбе ҳастанд, биё!

03.01.2024
изображение
Дэниел Янски

Маҳсулоти хубе, ки дарди пуштро сабук кард. Ман дар ҷои кор пуштамро осеб додам ва дар давоми як рӯз ҳолам хуб шуд.

03.01.2024
изображение
Вилем Крейчар

Ман баъд аз футбол ҷароҳати остеоартрит дорам. Зонуи ман ҳама вақт дард мекунад, бо ин дард зиндагӣ кардан ғайриимкон аст. Arteron озмудам — ин ба ман ёрии калон расонд, зонуям дард карданро бас кард.

01.02.2024
изображение
Божена Зедникова

Ман бори аввал фармоиш медиҳам, ба модарам барои зону ва ба падарам барои тахтапушт кӯмак мекунам.

01.02.2024
изображение
Павла Весержова

Хайр, ба раққосаҳо ҳасад бурдан нолозим аст, ман худам кайҳо боз рақс мекунам, пойҳоям дард мекунад. Дард зуд зуд аланга мезанад ва пояш аз ҳар боре варам мекунад. Ман онро як моҳ истифода кардам, илтиҳоб, варам ва дард гузашт

01.02.2024
изображение
Ян Вода

Инчунин бо буғумҳоям мушкилот доштам, артрози буғуми зонуҳо. Аммо Arteron ба ман ёрӣ расонд, ки зуд шифо ёбад. Ҳоло ман метавонам бо набераам дар боғ сайру гашт кунам.
изображение

01.02.2024
с изображение
Богдана Калашова

Он дорухонаҳо умуман манфиат ннстанд, нархҳо гаронанд, ҳар дафъа нисфи нафақаамро дар он ҷо сарф мекунам. Лекин дар дорухонахо ягон давои хубе нест. Аммо ин чӣ гуна имконпазир аст?

01.02.2024
изображение
Станислава Дудова

Ман панҷ сол боз гирифтори артрит ҳастам, азият мекашам ва аллакай пули зиёд сарф кардам. Arteron ба ман ёрӣ расонд, дардро дар давоми чанд руз рафъ кард, илтиҳоб ва варамро рафъ кард. Акнун бинед, ки ман чӣ кор мекунам! Ман мисли пиронсоли солхӯрда хобида будам ва ҳоло бошад нафақахӯри фаъол ҳастам! Духтарам ҳатто барои ёдгорӣ акси маро гирифт.
изображение

01.02.2024
изображение
Изабела Кочварова

Маҳсулоти хеле хуб, ба ман кӯмак кард, ки аз дарди пушт халос шавам. Ман остеохондроз дорам, корам нишастанист, аз ин рӯ пуштам бисёр дард мекунад. Ман муддати дароз дар ҷустуҷӯи агенти зидди паразитӣ будам. Ниҳоят онро ёфтам!

01.01.2024
изображение
Амалия Андерлова

Ман интизор набудам, ки ин гуна тахфиф ба даст меорам. Фармоиш додам, буғумҳоямро табобат мекунам, боғ дорам, наберагон, ва кору бор .

01.01.2024
изображение
Мириам Валикова

Модарам бо рақсу гимнастика машғул буд. Ва он гоҳ буғумҳоям дард карданд. Аммо бубинед, ки Arteron баъди истифодабарӣ чӣ кор мекунад! Тасвир изображение

01.01.2024
изображение
Александра Юржикова

Ба ман мегуфтед, ки ин табобатро кӣ аллакай санҷидааст, оё ба он аксуламали аллергӣ вуҷуд дорад? Дар ҳақиқат ба Arteron ниёз дорам, аммо ман қариб ба ҳама чиз аллергия дорам!

01.01.2024
изображение
Милослава Холомкова

Павла, ман хам аллергия дорам, аммо ба Arteron аллергия надоштам.

01.01.2024
изображение
Александра Юржикова

Хуб, ташаккур. Ман фармоиш медиҳам ва бубинам, ки он чӣ гуна аст.

01.01.2024
изображение
Доктори илмҳои тиб Владимир Бенеш

Ҳамчун коршинос, метавонам ба шумо бигӯям, ки чунин чиз қаблан вуҷуд надошт ва маълум нест, ки чаро он дар бозор дастрас нест. Дар алоҳидагӣ, ҳар яке аз ин компонентҳо пурқувват аст, махсусан равғани эфирии эвкалипт. Ва якҷоя онҳо метавонанд мӯъҷиза эҷод кунанд.

01.01.2024
изображение
Собеслав Котала

Мехохам ба созандагони Arteron миннатдорӣ баён кунам. Ин кремро 1,5 моҳ истифода кардам. Дар ин муддат дарди зонуям тамоман аз байн рафт, ба харакат даромадам, табъам болида, хушхолам, дар хавои тоза ба варзиш машғулам.
изображение

31.12.2023
изображение
Павла Мужикова

Маҳсулоти хуб, ба модарам кӯмак кард. Ӯ муддати тӯлонӣ аз дарди пушт ва зону азият мекашад. Аз байн як моҳ нагузашта, модарам дар хона ҳаракат кардан гирифт ва дигар аз дард шикоят намекунад

31.12.2023
изображение
Эдита Шустерова

Айниҳол ба Arteron фармоиш додам. Умедворам, ки аз дарди артроз озод мешавам. Ба ман ҷарроҳии ивазкунии муштаракро пешниҳод карданд, аммо метарсам. Мехохам аввал Arteron санчида бинам.

31.12.2023
изображение
Мириам Бернашкова

Эдита, албатта, ки метарси. Ман як хешованде доштам, ки буғумашро чунин иваз карда буд. Он чандон хуб набуд. Муддати тулонӣ мубориза бурда, нихоят ба по хеста натавонист ва ҳамин тавр вафот кард.

31.12.2023
изображение
Романа Сукова

Ва акнун ҳамроҳи дӯстам Джитка бо ин роҳ худро наҷот медиҳем. Мо намехоҳем, ки худро аз даст диҳем, мо дар ҳоле ки дар хона нестем, варзиш мекунем. Arteron ба шумо ёрӣ мерасонад, ки дар ҳолат нигох доред. Дар асл, қувва меояд - ман ҳатто намефаҳмам, ки он аз куҷо меояд. изображение

31.12.2023
изображение
Анна Циммерманн

Агар гули арникаи кухӣ бошад, доруи хуб аст. Пас, ман фикр мекунам, ки бо ин таркиб кор мекард.

31.12.2023
изображение
Лада Чиперова

Arteron ба ман маъқул аст, зуд дардро рафъ мекунад, ба артрити зонуҳо кӯмак мекунад, онро ба бачаҳои даста( яъне командаи) тавсия медиҳам.

31.12.2023
изображение
Людвик Задина

Дорухонаҳо худро таъмин карда наметавонанд, нархҳо гаронанд! Ин маънои онро дорад, ки маҳсулот хуб аст ва онҳо онро намефурӯшанд! Факат барои аз саломатии нафакахурон пул кор кардан! Лаънат ба буржуазия!

30.12.2023
изображение
Барбора Томешова

Ман соҳаи тибро аз худ мекунам. Аз рӯи таркиб хуб аст. Ҷузъи арника кӯҳӣ махсусан барои мушкилоти буғумҳо муҳим аст.

30.12.2023
изображение
Кирилл Галоузка

Ман бисёр аз дарди тахтапушт азият мекашидам ва ҳамсарам М. Владимир Бенеш аз артрит азият мекашид.Баъд аз Arteron мо ба варзиш машғул мешавем, буғумҳоямон дигар моро азоб намедиҳад.(тасвир) изображение

30.12.2023
изображение
Леош Шаха

Дуруст аст, кӣ аз шифои комил ба касе фоида меорад, ба касе пул намеорад. Ин аст, ки онҳо маҳсулоти хубро аз бозор пеш карда, худашон маҳсулоти воридотӣ ва гаронарзишро таъин мекунанд. Мафия, бо як калима.

30.12.2023
изображение
Войтех Микеска

Ман бо тахфиф фармоиш додам, умедворам, ки кӯмак мекунад.

30.12.2023
изображение
Оскар Выдра

Войтех, бале, ман ҳам фармоиш додам ва он ба кӯмак кард, тавсия медиҳам!

30.12.2023
изображение
Вера Йироушкова

Юдита, бовар кунед, ман ҳам онро бо тахфиф гирифтам ва ба ман ҳам кӯмак кард.

29.12.2023
изображение
Лилиана Дедкова

Ман аллакай дар бораи он хондаам. Одамон менависанд, ки ин ба онҳо кӯмак мекунад. Ман онро ҳанӯз истифода накардаам.

29.12.2023
изображение
Сандра Корбелова

Ман марҳилаи 2 артроз дорам. Дарди даҳшатовар аст. Ягон доруи зиддидардӣ кӯмак намекунад. Ба ман гуфтанд, ки барои аробачаи маъюбӣ омода шавам. Аммо то ҳол таслим намешавам. Бори аввал дар бораи ин маҳсулот шунидам, ман онро фармоиш додам, ва мехоҳам санҷам.

29.12.2023
изображение
Гита Ветровцова

Сандро, ҳатман истифода кун, - он модарамро ба по хезонд. Онҳо инчунин аробачаи маъюбӣ пешгӯӣ карданд ва аз кор мондани дастонашро гуфтанд. Акнун танҳо ба ӯ нигаред.
изображение

29.12.2023
изображение
Каролина Х.

Оҳоо! Онҳо ба ман 50% тахфиф доданд! Фармоиш додам. Биёед бубинем, ки ин чӣ қадар кӯмак мекунад.

29.12.2023
изображение
29.12.2023
изображение
Маркета Хандлова

Салом дустон! Офарин ба ҳамаи шумо! Нафакахурони фаъолу саломат! Ва ман мисли солхӯрдаҳо - танҳо диван ва телевизор. Дастҳоям дард мекунанд, зонуҳоям дард мекунанд, ман ин малҳамҳоро мемолам ва ҳеҷ чиз кӯмак намекунад. Аллакай ин қадар дору гирифтам ва онҳо ҳама бенатиҷа.

28.12.2023
изображение
Кристиан Сихра

Зонуҳо хам мешаванд, пойҳоям ҳаракат мекунанд! Ба шумо боз чӣ лозим аст?" Воситаи олӣ, ман онро ба ҳама тавсия медиҳам

28.12.2023
изображение
Олдришка Хуртова

Ташаг! Ман ҳам инро кӯшиш истифода хоҳам кард.

28.12.2023