Analisi

Come mi sono liberato di un nodo sulla gamba?
IN 2 SETTIMANE

Jedusa

Ciao caro

Oggi ti racconterò come mi sono liberato di un nodo al pollice. Ho dovuto sopportare l'operazione più difficile e le peggiori conseguenze dopo di essa, e mi sono sbarazzato dell'osso sporgente con una semplice associazione

Per chiunque abbia lo stesso problema, voglio evitare errori e dirti come sbarazzarti del valgismo (livido) senza intervento chirurgico. Va tutto bene.

La mia gamba 1 mese dopo l'intervento

Cos'è l'alluce valgo?

Alluce valgo - è una malattia caratterizzata da un osso sporgente, un nodulo sull'alluce. Con l'alluce valgo, il piede si deforma, la cartilagine cresce, il che porta alla deformazione e allo spostamento dell'osso..

La malattia è accompagnata da dolore e disagio a riposo. Quando ci si muove, il dolore a volte peggiora, è molto difficile indossare anche scarpe comode...

Sembra un'esacerbazione in valgo

Quali sono le conseguenze del valgismo?

Oltre al terribile dolore e disagio, a causa della gamba valga, l'intero sistema muscolo-scheletrico è disturbato. Prima l'andatura è deformata, poi le cartilagini e le vertebre, l'articolazione del ginocchio e l'articolazione dell'anca sono dislocate. Le articolazioni sono deformate.

L'insidiosità del valgo sta nel fatto che può essere mascherato a lungo. Tutte le malattie che si sviluppano contro di loro compaiono gradualmente. Personalmente, non pensavo nemmeno che il mal di schiena e la successiva osteocondrosi fossero causati dall'alluce valgo.

Osteocondrosi, artrite, borsite, dolori articolari sono le malattie più innocue causate dal gonfiore articolare. Il gonfiore non trattato alla fine porterà alla paralisi e alla disabilità.

Per evitare questo, è importante prendere le misure appropriate in tempo. E questo è tutt'altro che un intervento chirurgico, come di solito scoprono i medici. L'ho controllato io stesso.

Intestino causato da valgismo

La mia storia

È iniziata come tutti gli altri e non prometteva nulla di buono. All'inizio mi facevano male le gambe, mi stancavo, a volte si gonfiavano anche. Poi è arrivato il mais che non è andato via per molto tempo.

Come si è scoperto in seguito, era il primo stadio del valgismo, non dell'alluce valgo. Non camminavo di meno e non potevo rinunciare alle mie scarpe preferite, quindi è peggiorato nel tempo.

Le mie gambe erano più stanche, mi facevano male quando mi muovevo. Anche quando riposavo, il dolore non passava. A volte mi svegliavo e non riuscivo a riaddormentarmi.

Così mi sono svegliato la mattina al verde e completamente esausto. Presto ha iniziato a influenzare negativamente il mio lavoro, ho iniziato ad avere problemi con i miei superiori e alla fine ho dovuto lasciare il mio lavoro.

Non ho trovato niente di nuovo perché mi piaceva solo camminare molto o stare molto in piedi, e poi riuscivo a malapena a sedermi.

Ho provato tutti i tipi di rimedi casalinghi, tutti i tipi di unguenti, lozioni, ecc. Tutti questi rimedi hanno aiutato nel migliore dei casi ad alleviare il dolore per un breve periodo di tempo, ma nel tempo sono diventati tutti avvincenti.

Quando ho preso Ketanov (chi non lo sa, è l'antidolorifico più potente) e non mi ha più aiutato, ho deciso che dovevo agire immediatamente e andare dal dottore.

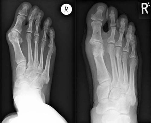
Raggi X delle gambe prima e dopo il trattamento

Operazione per rimuovere l'osso dalla gamba. Dopo aver eseguito una radiografia, il chirurgo ha concluso tragicamente che era urgente un intervento chirurgico per rimuovere il dito storto. L'alluce storto aveva già causato complicazioni alle articolazioni del piede, a causa delle quali alcuni legamenti all'interno del piede erano danneggiati, presto sarebbe iniziata la necrosi e quindi il piede avrebbe dovuto essere amputato.

E se sopporti il dolore ancora per qualche mese, potresti perdere l'intera gamba perché il processo di necrosi è irreversibile: i tessuti semplicemente muoiono senza possibilità di recupero.

Ero così spaventato e ovviamente ho accettato l'operazione. Se solo mi avessero detto a cosa mi stavo iscrivendo...

La mia gamba un mese dopo l'operazione

L'operazione è stata eseguita in anestesia, dopodiché non ho potuto muovermi per un giorno. Ero malato, mi lacrimavano gli occhi, mi girava la testa. Non riuscivo ad alzarmi dal divano, dove pensavo di essere. era con me, gli ippopotami riposarono per tre giorni.

Un'esigenza minore potrebbe essere soddisfatta sotto la supervisione di un'infermiera che sembrava non gradire tutto. Ero terribilmente vergognoso e imbarazzato. Solo una cosa: mi sono sbarazzato di quelli insanguinati. osso e ora posso respirare. Ma purtroppo tutto si è rivelato molto più complicato

È così che ho camminato per l'ospedale. Era molto doloroso camminare...

Periodo di riabilitazione

Una settimana dopo mi hanno lasciato andare da solo. Le mie gambe mi facevano sempre male terribilmente, gli antidolorifici non mi aiutavano quasi. Una settimana dopo mi hanno rimandato a casa, non perché mi fossi finalmente riscattato, ma perché non c'era modo che mi lasciassero lì gratis.

Dopo due settimane in questa "prigione" ho sognato che mi lavavo normalmente a casa e finalmente mi riposavo. Certo, puoi lavarti il piede solo avvolgendolo in pellicola trasparente o polietilene, in modo che l'acqua non penetra nelle cuciture interne.

Ho passato più di un mese in questi rover lunari terribilmente scomodi

Inoltre, anche a casa, dovevo indossare scarpe speciali che mi spingevano da tutte le parti ed erano terribilmente scomode. Tutti i movimenti facevano ancora male, ma ho perseverato...

Il dottore ha detto che l'operazione rimuoverà permanentemente il valgismo. Sfortunatamente, questa è una bugia e la mia più grande delusione...

Valgismo dopo intervento chirurgico

Mi ci sono voluti tre mesi prima che le mie gambe smettessero di farmi male. Certo, la gioia fu di breve durata. Dopo sei mesi, il dolore è tornato e con esso il gonfiore, che ho quasi scambiato di nuovo per un callo

Il dottore ha confermato la mia ipotesi e si è limitato a scrollarsi di dosso la mia domanda perplessa, come è possibile. Tutto sembra andare come vuole lui. Inoltre, se torna al suo vecchio modo di vivere, il problema si è ripresentato.

Le mie gambe un mese dopo l'intervento

Le sue parole mi hanno fatto venire voglia di urlare, non ho potuto fare a meno di piangere nel suo studio... In fondo, anche se l'operazione non garantisce una completa guarigione, significa che dovrò sopportare queste terribili . condizioni per il resto della loro vita, sono estenuanti... e dicono anche addio alle gambe...

Cospirazione medica

Ci ho pensato per tutto il tempo e questi pensieri mi hanno fatto così male che sono quasi svenuto. I miei piedi erano asciutti, i miei occhi erano scuri. Ho dovuto sedermi sulla prima panchina che ho trovato.

Una donna anziana è venuta da me, mi ha dato dell'acqua e si è offerta di accompagnarmi a casa. Abbiamo iniziato a parlare. Alla fine le ho raccontato tutto: dei miei fallimenti nella mia vita personale, del lavoro e dell'operazione.

Quando ho scoperto il mio problema, il mio interlocutore si è sentito ancora meglio. Si scopre che ha lavorato come chirurgo per tutta la vita e quando è andata in pensione è stata semplicemente licenziata per non aver seguito il sistema.

Le mie gambe 9 mesi dopo l'intervento

Ogni anno, esperti di diversi paesi sviluppano strumenti per risolvere un problema specifico. Ma pochi di loro raggiungono i pazienti, anche se è una medicina molto buona e di alta qualità.

Il motivo è che i medici ottengono una certa percentuale per ogni operazione. E se ricordi gli stipendi dei nostri medici, è chiaro perché mandano una persona su due in chirurgia invece di prescrivere fondi...

Se non intervento chirurgico, allora cosa?

Il mio nuovo amico mi ha detto che 10 anni fa hanno rilasciato un fantastico farmaco che può curare un tumore in settimane senza interventi chirurgici o altre manipolazioni.

Segreto dalle autorità, come medico diligente, hai prescritto Artrosteel, un farmaco che rimuove rapidamente ed efficacemente le unghie incarnite, ai tuoi pazienti.

Non è stato venduto in farmacia, era molto difficile da ottenere, ma si può fare. Ora non è ancora consentito nelle catene di farmacie, ma con l'avvento di Internet è molto più semplice: ora può ordinare una preparazione medicinale online e con uno sconto.

La mia nuova ragazza ha assolutamente insistito perché usassi questo prodotto, principalmente perché il prezzo era molto allettante e l'effetto, come promesso, mi ha semplicemente stupito.

Ispirato dalle storie di un grande dottore, sono corso a casa e ho subito prenotato Artrosteel.

Recupero

Il medicinale per il nodulo sulla gamba è disponibile come unguento. Dovrebbe essere applicato due volte al giorno, al mattino e alla sera.

Ho usato il prodotto per la prima volta prima di andare a letto. Il dolore è passato immediatamente! Anche il gonfiore è andato via. Ho dormito come una persona normale per la prima notte da tanto tempo e non ho dormito di nuovo. Mai!

Dopo una settimana, il tumore ha iniziato a ridursi, e dopo due settimane era completamente scomparso. Il pollice è tornato gradualmente al suo posto e alla fine del corso era completamente stabilizzato! Ragazze, non è un miracolo?

Ecco come sono le mie gambe un anno dopo aver usato Artrosteel

Quanti soldi ho sprecato in questi stupidi unguenti inutili come il latte di capra... Quante lacrime ho versato in corsia d'ospedale, quanto dolore ho sofferto, non lo auguro al nemico...

Chissà quanto sono grato al destino di aver incontrato Tatiana Vasilievna lungo la strada, una donna che mi ha parlato di questa droga e mi ha letteralmente salvato la vita!

Dopo aver attraversato tutti i gironi dell'inferno con il mio povero genero, abbiamo deciso che se il nostro sistema sanitario non ci permette di prendere queste misure, aiutiamoci a vicenda.

Dove posso trovare Artrosteel?

Se soffri anche tu di alluce valgo o stai prendendo in considerazione un intervento chirurgico, ti consiglio di provare prima Artrosteel. Ma se mi ha aiutato in questa fase avanzata, penso che possa aiutare anche te

Ho ordinato questo direttamente dal produttore. Il produttore ha lanciato un'azione per acquistare Artrosteel con uno sconto. Guarisci presto !


Tenta la fortuna! Clicca su una delle porte! Prova a ottenere uno sconto su Artrosteel
Questa promozione è valida fino a... compreso. 2022 prezis inclusivo.
Loro hanno già guadagnato uno sconto, puoi farlo anche tu!
Nome
Sconto
Antonio
Ho vinto uno sconto del 40%
Benoit
Ho vinto uno sconto del 50%
Cassiano
Ho vinto uno sconto del 35%
ortensie
Ho vinto uno sconto del 10%

Indovina quale porta è a sinistra

img

Tutto quello che devi fare è inserire il tuo nome e numero di telefono
Affrettati! Hai tempo libero:
10:00

79 €
39 €

Puoi richiedere l'articolo per

OK

Commenti

Zdenka Pirc

Chi ci ha provato? Dimmi, aiuta? Ho deciso di ordinare me e mia madre per la profilassi, non farà male!

Alenka Toplak

Ho ordinato da poco, lo ritirerò domani e pagherò sul posto. La vicina è soddisfatta, dice che dopo 2 settimane è tutto a posto, funziona!

Rosa

Ho ricevuto il mio ordine una settimana fa, lo sto usando ora e il mio unico rammarico è di non aver conosciuto questo metodo prima. In generale, lo consiglio a chiunque abbia lo stesso problema.

Jelka Nikolic

Ragazze, è fantastico!!! Dopo 10 giorni, non sono rimaste ossa! Sono così felice)))


Oranka

Dai i soldi solo per il ritiro, sii coraggioso, ordina ora, puoi sempre rifiutare un ordine e non credo che dovrai farlo

L'equilibrio di Marjana

Ragazze, ho preso un appuntamento, sto facendo un trattamento da 2 settimane, sono una ballerina ed è un grande compito per me brillare con tutta la mia bellezza sul palco. Ha portato solo disagio estetico, significava la fine della mia carriera . Mi sono imbattuto in Artrosteel; l'ho visto a casa di un amico. Gli ho chiesto cosa fosse e lui mi ha detto tutto. L'ho provato. A dire il vero, non l'ho fatto Non aspettarti risultati del genere. Pensavo che fosse finita, addio balletto, addio danza.

Sisel

Guarda, non avrei mai pensato che Artrosteel potesse funzionare così bene... l'ho ordinato con il backup, ma mi ha aiutato molto .V sono scioccato, piacevolmente scioccato!


Chiara Kovacic

Quando ero piccola, lavoravo come segretaria in un'azienda molto prestigiosa. E come tutte le ragazze di allora, cercava di essere il più elegante possibile. La gonna è più corta, i tacchi più lunghi, la testa più voluminosa, il trucco più leggero.Adesso capisco che sembro stupida, ma allora stavo bene a correre su e giù per le scale con i tacchi alti.Questo è il punto. dove indossavo le pantofole a 40 anni. Ho fatto impacchi, ho usato la radice di bardana. Non ha aiutato. Quando ho comprato href="#form">Artrosteel, non pensavo che mi avrebbe aiutato affatto. Sorprendentemente, mi sento meglio ora rispetto agli ultimi 10 anni e l'osso è quasi completamente sparito


Toini

L'ho ordinato. Voglio davvero provarlo! I risultati verranno pubblicati più tardi***

In diretta

Pazesco! Ti senti davvero meglio del primo giorno?

Neza Popovic

Sì, la differenza è visibile dal primo giorno. Sei meno stanco e poi generalmente dimentichi che qualcosa cambia e Artrosteel fa il suo lavoro ora.

Anže Mlinaric

Fantastico! Devo ordinare quest'osso che mi sta già dando fastidio!

Nadia Knez

Anche io sono stata operata 5 anni fa. All'inizio sembrava niente, ma poi tutto è ricominciato. Mi fanno male le articolazioni, mi crescono le ossa, non riesco a camminare. Ho provato a trovare qualcosa di utile su Internet, anche quando di solito si scrive questa sciocchezza. Si consiglia l'uovo o il sale. Non volevo andare di nuovo sotto i ferri. Ho trovato un articolo simile, ho provato Artrosteel < /a >, mi ha aiutato molto rapidamente. Ora lo uso solo una volta all'anno per sei mesi come profilassi. Ecco il risultato.

Hermina Kastelic

L'intero incubo è che se hai le protuberanze sui piedi, non puoi indossare le scarpe. OK, i tacchi, ma non puoi nemmeno indossare i normali stivali con la zeppa. Intelligenti poi zoppi. Estate? Io personalmente, io di solito non potrei camminare per strada perché la bellezza è visibile agli altri. Ho visto questo articolo ordinato Artrosteel sul sito del produttore come consigliato. il primo gli effetti sono stati impressionanti: la gamba era già senza dolore. Non vedo l'ora di scoprire cosa succederà dopo.

Milica Kotnik

Sono una cameriera, sono sempre in piedi. La politica del caffè è camicetta, gonna e tacchi. Lavoro tutti i giorni dalle 16:00 alle 3:00. Mi pesavo le gambe. Apparve un osso, le mie gambe iniziarono a farmi male. Ho ordinato di essere Artrosteel. Fino a quando non l'ho provato, ho pensato che avrei dovuto rinunciare. Ma ho un'istruzione Sì cara, se non fosse per questa droga, dimenticherei l'istruzione e vivrei per strada.

Sud Maria

Ragazze, ho letto le vostre recensioni e ho ordinato con coraggio! GRAZIE!

Erika Kocevar

Ragazze, la storia di tutti sembra essere la stessa. E ho questa merda ereditaria. Ce l'aveva mia madre, ce l'aveva mia nonna. tacchi finché non ho provato Artrosteel. Ultimamente indosso sandali con zeppa, cammino normalmente.