
Serebral anjiyodistoni, beyin dokularındaki damarların ve normal kan dolaşımının bozulduğu patolojik bir durumdur. Bu makalede, tedavi zamanının geldiğini anlama yöntemleri, bu patolojik duruma nelerin sebep olduğu ve söz konusu durumun semptomları hakkında bilgi edinebilirsiniz. Ayrıca bu sinsi hastalığın korkunç komplikasyonları ve ondan korunmak için herkesin erişebileceği modern tedavi yaklaşımı hakkında bilgi edinebilirsiniz.
Serebral damarların anjiyodistoni tüm organizmanın performansını etkiler. Beyne yetersiz kan akışı nedeniyle genel performans düşer, zayıflık ortaya çıkar ve önemli vücut sistemleri arızalanmaya başlar.
Serebral anjiyodistoninin ilk semptomları şunları içerir:
- Baş ağrısı;
- Kulaklarda çınlama;
- Genel halsizlik, uyuşukluk, uyuşukluk;
- Düşük çalışma kapasitesi;
- Uyku bozuklukları, uykusuzluk;
- Unutkanlık;
- Uzuvlarda uyuşma hissi;
- Kollarda ve bacaklarda şişme;
- Gözlerde kararma hissi;
- Görme kaybı;
- Vücutta hormonal bozulmalar.
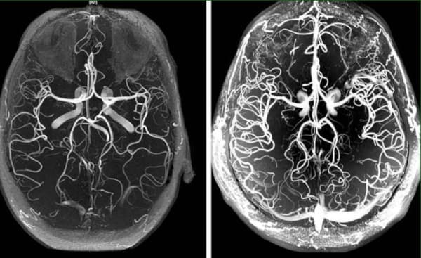
Serebral damarlarının tıkalı olması kan dolaşımının tedavisine, bir başka deyişle tüm organizmanın kolesterol plakları, kan pıhtıları ve kalsiyum kireci gibi birikmiş pisliklerden temizlenmesine dayanır.
Evde damarlar nasıl temizlenir?
Kan dolaşımının tedavisi ve kan damarlarının temizlenmesi karmaşık bir süreçtir. Vücudun tüm damarlarını etkiler ve yaşam kalitesini artırır.
Bu detaylı röportajda kan damarlarınızı nasıl temizleyeceğinizi, yüzlerce "kronik" hastalıktan nasıl kurtulacağınızı ve 20 yıl daha sağlıklı bir yaşam elde edeceğinizi öğrenebilirsiniz.
- Damar tıkanıklığı ne kadar tehlikelidir?
- Semptomları görmezden gelmenin riskleri nelerdir?
- Vazodilatörler neden kötüdür?
- Beyin damarları, aşırı kilo, eklemler ve güç arasındaki ilişki nedir?
- Kan dolaşımını nasıl temizleyebilir ve kan damarlarını kendi başınıza nasıl güçlendirebilirsiniz?
Bu sorular Süleyman Demirel Üniversitesi Tıp Fakültesi Beyin Damar Cerrahisi Anabilim Dalı Başkanı, Profesör, Beyin Cerrahı, Türkiye'nin önde gelen doktorlarından olan Burak Çelik tarafından cevaplandı.

Burak Çelik Türkiye'de ortalama yaşam süresinin gelişmiş ülkelerde olduğu gibi 89-93 yıla çıkarılabileceğine inanıyor. 40 yaşından sonra kan damarlarını temizlemenin önemini vatandaşlara kitlesel olarak anlatılması gerektiğini vurguluyor.
Damar tıkanıklığı ne kadar tehlikelidir?
– Sayın Çelik, öncelikle hangi belirtilere dikkat edilmeli?
- İlk aşamada damar tıkanıklığı zayıf bir şekilde kendini gösterir. Çoğu kişi semptomlara, belirtilere dikkat etmez.
Beyin damarlarındaki sorunların ilk belirtileri:
- Beyinde sebepsiz yere ortaya çıkan gürültü;
- Gözlerin önünde beliren noktalar;
- Parmaklarda ve yüzde uyuşma hissi;
- Alın ve şakaklarda baş ağrısı;
- Ani basınç sıçramaları (vücut pozisyonunda keskin bir değişiklikle gözlerde kararır);
- Soğuk ayaklar ve eller.
Damarların durumunun bozulması ile kalıcı kronik hastalıklar gelişir:
- Hipertansiyon;
- Eklemlerde, kaslarda, uzuvlarda kramp ve ağrı;
- Kalp çarpıntısı
- Varisli damarlar ve damarların trombozu;
- Erkeklerde cinsel gücün bozulması ve prostatın büyümesi;
- Metabolizmanın yavaşlaması ve yağ metabolizmasının ihlali.
Akut bir hastalık olmamasına rağmen serebral dolaşımın bozulması çok sinsidir. Sonuçta er ya da geç felce yol açar ama ondan önce insana yıllarca işkence eder, organların hayati fonksiyonlarını yavaş yavaş öldürür ve bir sürü farklı hastalığa neden olur.
Bütün bu hastalıklar birer sonuçtur. Damarların aterosklerozunun sonuçları kolesterol plakları ve kan pıhtılarına yol açar. Kelimenin tam anlamıyla bazı vatandaşlarımız kan damarlarını temizlemiyor. Bu nedenle de yıllarca acı çekmeye devam ediyor ve kronik hastalıkları için bilmeden de olsa işe yaramaz haplar içiyor.
- Evet, ne yazık ki vatandaşlarımız damar temizliğinin önemi konusunda hiçbir şekilde bilgilendirilmiyor.
– Ve bu onların suçu değil. Türkiye'deki 100 doktordan 99'unun kan damarlarını temizlemek için reçete yazmanın gerekliliği hakkında bilgi sahibi olmadığı ortadadır.
ABD, Kanada ve Japonya gibi gelişmiş ülkelerde 11 yıldır yasal olarak 40 yaşın üzerindeki her vatandaşa her 4 yılda bir nutrasötik sağlanması kararlaştırılmıştır.
Semptomları görmezden gelmenin riskleri nelerdir?
- Kan damarlarının semptomlarını görmezden gelirseniz ve yalnızca teşhisi konulmuş hastalıkları tedavi ederseniz ne olur?
- Herhangi bir ilaç tedavisine bakılmaksızın hastalıklar sadece ilerleyecektir.
Ve damarlarda ne kadar fazla kirlilik birikirse sonuçlar o kadar şiddetli olacaktır. Serebral damarların orta ve yüksek derecede kirlenmesiyle en sık olarak felç, tam veya kısmi felç meydana gelir.
Vazodilatörler neden kötüdür?
– Vazodilatörlerin yarardan çok zarar verdiği doğru mu?
– Evet. Vazodilatör ilaçlar acil kullanım için iyidir. Sık kullanımları kan damarlarının duvarlarında büyük bir yük oluşturur.
Damarlar, epitel duvarlarını aşındıran ve onları daha ince yapan birikmiş kolesterol "katmanlarından" zaten muzdariptir. Ve vazodilatörler kan damarlarını gererek duvarlarda aşırı gerilim yaratır. Böyle bir anda damar dayanamazsa ve patlarsa felç meydana gelir.
Bu nedenle, vazodilatörleri çok dikkatli bir şekilde ve sadece aşırı durumlarda almanızı tavsiye ederim.
Beyin damarları, aşırı kilo, eklemler ve güç arasındaki ilişki nedir?
- Neden beynin kan dolaşımı bozulduğunda, kadınlar genellikle kilo alır, erkekler ise “güçlerini” kaybeder ve prostatit olur, dahası eklemler ve omurga çökmeye başlar?
- Beynin damarları plaklarla “tıkandığında” daha az besin alır. 40 yaşından sonra her yıl beyin %5 daha az besin alır.
Beyin yeterli besin almadığında ne yapar?
1. Aç olduğumuzu düşünür ve bize yemek yedirir.
Ancak ne kadar yemek yesek de kirli damarlar yine de beyne yeterli besinin geçmesine izin vermez. Vücut yediklerimizi depolar ve bunun sonucunda kilo artışı gerçekleşir.
2. “Aç” iken beyin öleceğimizi düşünür ve bu nedenle vücudun hayatta kalması için “gereksiz” olan işlevleri kapatır.
Aç beyin üreme işlevine ihtiyaç duymaz. Bu nedenle güç ve libido işlevi azalır. Erkeklik hormonu olan testosteron'un üretimini azaltır. Bu da prostatta bir artışa ve prostatit gelişimine neden olur.
İyileşme işlevi çok enerji tüketir ve beyin daha iyi zamanlara kadar işlevi “kapatır”. Eklem dokuları güncellenmeyi bırakır: kıkırdak, kemikler, sinovyal sıvı üretimi (eklem yağlaması) azalır. Eklemlerde ağrılar, osteokondroz, artrit oluşur.
Kan dolaşımı nasıl tedavi edilir ve kan damarları nasıl güçlendirilir?
– Damarları temizlemek ve kan dolaşımını kendi başımıza eski haline getirmek mümkün müdür?
- Evet. Bunu yapmak zor değil. Ancak bu, sabır ve disiplin gerektiriyor.
Ulusal Vasküler Cerrahi ve Kardiyoloji Tıbbi Araştırma Merkezi benzersiz bir ürünü, nutrasötik şurup olan "Cardiden"i geliştirdi. Enstitü uzmanları bugün benzeri olmayan bir ürün yarattı. "Cardiden" şurubu kesinlikle güvenlidir, hiçbir yan etkisi yoktur ve tıbbi gözetim olmadan alınabilir.

"Cardiden", damarları her türlü tortudan temizler:
- Kolesterol plakları
- Kan pıhtıları
- Kalsiyum tuzları
Cardiden kullanımının sonuçları:


Bilim insanlarımızın gururu olan "Cardiden", kolesterol plaklarına nüfuz eden ve onları içeriden çözen ekstraktların aktif CO2 fraksiyonları sayesinde kan damarlarının neredeyse %100 temizliğini sağlarlar.
Cardiden damarları temizleyerek beynin normal beslenmesini geri kazandırır. Vücudun iyileşmesinin zincirleme reaksiyonu başlatılır.
Cardiden vücudu nasıl etkiler?
– Cardiden 3 aşamada etki eder:
1. Damarlardaki tortuları temizler
Aterosklerotik plakları, kan pıhtılarını ve kalsiyum kirecini çözer. Kan damarlarının temizliğini % 99,71'e kadar arttırır ve kan dolaşımını eski haline getirir.
2. Zayıf dolaşımın etkilerini ortadan kaldırır
Hipertansiyon, baş ağrısı, varis, tromboz, hemoroid, prostatit gibi hastalıklar tamamen veya önemli ölçüde iyileşir. Kulaklarda çınlama, baş dönmesi, şişlikler kaybolur, görme keskinliği ve düşünce netliği artar. Kilo ve yağ metabolizmasını normalleştirir.
3. Kan damarlarının duvarlarının gücünü ve esnekliğini artırır.
Bu, yeni plak oluşumunu engeller ve felç riskini 11 kat azaltır.
– Cardiden'i ne sıklıkla ve ne kadar süreyle almalıyız?
- Erkeklerde 40, kadınlarda 45 yaşından itibaren 5 yılda 1 kez alınmalıdır. Tedavi süresi genel anlamıyla 2-3 ay sürer ancak şiddetli dolaşım bozuklukları semptomları için en az 2 aydır.
ÖNEMLİ! ARAŞTIRMAYA GÖRE TEDAVİYE BAŞLAMAK İÇİN EN İYİ ZAMANIN HAZİRAN VE TEMMUZ AYLARI OLDUĞU GÖZLEMLENMİŞTİR. BU AYLARDA ORTALAMA SICAKLIĞIN ARTMASI İLE BİRLİKTE ORGANİZMADAKİ METABOLİK SÜREÇLER HIZLANIR, ÜRÜNÜN KULLANIM ETKİSİ ARTAR. İYİLEŞME DİĞER MEVSİMLERE GÖRE %37 DAHA HIZLIDIR.
İndirim Kampanyası
– "Cardiden", bildiğimiz kadarıyla çoğu eczaneden kaldırıldı? Neden? Niye? Ve şimdi bu ürünü nasıl temin edebiliriz?
– Ne yazık ki evet. Bu yılın başından beri Cardiden artık eczanelerde bulunmuyor.
Çatışmanın nedeni, Cardiden üreticisinin satılan her bir adet için onlara büyük bir komisyon ödemesini talep eden eczane zincirlerinin açgözlülüğüydü! Üreticinin fiyatında zaten büyük olan marjı şişirerek ki ülkedeki bazı eczanelerde bir adet Cardiden'in fiyatı 5.000 TL'ye (!) kadar ulaştı ve eczacılar üreticiden ek bir ücret talep ettiler.
Eczane temsilcileri kendilerini haklı çıkarmaya çalışıyorlar. Onlara göre böyle bir ek ücretin hastaların hayatta kalmaları için verilmesi gerektiği düşüncesindeler. Sonuçta, Cardiden her 5 yılda bir satın alınan bir üründür. Ve bunun yanı sıra, Cardiden ile damarları temizledikten sonra kişi sürekli aldığı ilaçlara ihtiyaç duymaz! Bu ürünü kullanan insanlar, eklem ağrıları için dahi ilaç almayı bırakıyor. Astım ve diyabet için ilaç tüketimini önemli ölçüde azaltıyor. Bu da eczanelerde kayıplara yol açmaktadır. Bu nedenle, Cardiden için mümkün olan en yüksek fiyatı belirlemeyi talep ediyorlar.
Sonuç olarak üretici Cardiden tüm eczanelerle yaptığı sözleşmeleri feshetti ve sadece internet üzerinden dağıtıma geçti. Prensip olarak bu doğrudur. Siz karar verin: kira ödemek zorunda değilsiniz, eczanelerde raflarda olabilmek için rüşvet ödemek zorunda değilsiniz. Bu nedenle, Cardiden artık eczanelerde satıldıklarından çok daha uygun fiyatlı.
Tercihli İndirim Programı (TİP) "Temiz Damarlar"
Enstitümüz, Ulusal Kalp Damar Cerrahisi Tıbbi Araştırma Merkezi, Kargo firması ve üretici Cardiden ile birlikte teletıp (İnternet Tıbbı) projesinin bir parçası olarak tercihli bir program başlattı.
Program kapsamında ürün indirimleri sağlıyoruz. Her okuyucumuz indirim alabilir ama yalnızca ürüne gerçekten ihtiyacı olanlar indirimden yararlanabilir. En iyi yanı, indirimlerin %50'ye ulaşmasıdır. Bu da en şanslı okuyucularınızın ürünü tamamen YARI FİYATINA alabilecekleri anlamına gelir!
– İndirim programı ne kadar sürecek?
– Kampanya 18.05.2021 (dahil) tarihine kadar geçerlidir. Her aşama için 30.000 paket ayrılmıştır. Ve 3-4 haftada tamamen bitiyor. Ve bu, TV ve radyoda reklam olmamasına rağmen. İnsanlar birbirlerine bilgi aktarıyor, arkadaşlarına ve akrabalarına tavsiyelerde bulunuyor. Cardiden hakkındaki bilgilerin bu kadar çabuk yayılması bizleri bile şaşırttı.
Bu nedenle, belirtilen tarihten önce katılacak kadar şanslıysanız çekilişe katılmanızı ve en kısa sürede Cardiden sipariş etmenizi öneririm!
12 SAAT ÖNCE EKLENDİ | EDİTÖR NOTU: Önemli haber! Şu anda program 18.05.2021 (dahil) tarihine kadar Türkiye genelinde gerçekleştiriliyor. Promosyonun sonuna kadar, orijinal CARDİAMİN, %50'ye varan indirimle herkes için resmi çekilişle elde edilebilir! Şu anda, Türkiye'deki promosyon paketlerinin adedi: 37 adet.









Annem ve kendim için aldım. Annem kullanmaya başladığından itibaren etkisini hissettiğini söyledi ve ben de daha sağlıklı hissediyorum. Gerçekten memnun kaldık. Diğer aile büyüklerimiz için de sipariş vereceğiz.
Anladığım kadarıyla artık sosyal fon tüm bölgelere sponsor oluyor, şartları iyi okuyun. Bildiğim kadarıyla, eczaneler yüksek fiyat ile satmakta ısrar ediyor ama üretici kesinlikle reddediyor! Yani şimdilik, Cardiden'i elde etmenin tek yolu, çekilişte indirim almaya çalışmak veya bu şekilde sipariş vermek.
Tansiyon sorunları için çok etkili bir çare! Kesinlikle öneriyorum! Tansiyonum şimdi 120'den 80'e kadar stabil. İlk yardım çantamda her zaman yanımda bulundururum çünkü hayatımı KURTARIYOR!
Bu ürün için üreticiye teşekkürler! Denedim ve gerçekten hayat benim için daha kolay oldu. Bakalım bir hafta sonra nasıl olacak. Kalp basıncım artık artmıyor, hissetmiyorum bile. Bu yüzden her şeyin iyi olacağını düşünüyorum!
Endişelenmeyin ve Cardiden'i kullanmaya devam edin. Burada önemli olan kullanım talimatlarını takip etmektir.
Saygılarımla, Burak Çelik.
Arkadaşlar, yardım edin! Basınç dalgalanmalarından bıkmış durumdayım. Rahatsızlık ve acı hayatımı zehir etti. Artık ne yapacağımı bilmiyorum. Zaman zaman farklı yöntemler kullanıyorum ama yardımcı olmuyorlar :(((
Cardiden'i alın, pişman olmayacaksınız. Anneme Cardiden'i bulduğu ve onu kullanmama zorladığı için teşekkürler. Şimdi kan basıncımla ilgili hiçbir sorunum yok ve sakince hareket ediyorum. İnanın, alın ve her şey yoluna girecek, göreceksiniz!
Cardiden nasıl satın alınır?
Gamze, indirime katıl ve Cardiden'i sipariş et. Program devam ederken acele et. Bana çok faydası dokundu!
Kemal, evet, teşekkür ederim. Zaten sipariş verdim ama bir sorum var: Antalya'ya ne kadar sürede teslim edildiğini söyleyebilir misiniz?
Gamze, ortalama 3-4 günde geliyorlar :)
Kız kardeşim için üreticinin web sitesinden iki ay önce sipariş verdim. Uzun süredir rahatsızdı ve damar sertliğine sahipti. Daha sonra ona Cardiden'i kullanmasını önerdim. Şu an bana nasıl teşekkür ettiğini size tarif edemem.
Sonuç bu kadar etkili mi? Muhtemelen sipariş vermeye değer.
2 yıldır damar sertleşmesinden dolayı üzerimde bitmek bilmeyen bir baskı hissediyordum. Cardiden ile buna bir çare bulabileceğimi düşünüyorum. Sipariş verip deneyeceğim.
Yaklaşık bir ay önce Cardiden üreticisinin sitesini bulduğum için şükür ediyorum. Onlarca ilacın yapamadığı kadar çabuk tansiyondan kurtardı beni! Şimdi her ihtimale karşı masamda!
Arkadaşlar işe yarıyor mu gerçekten, söyler misiniz?
Şüphesiz. Etkisi çok güçlü ve en önemlisi sağlığa zarar vermiyor. Acele edin, indirimli çekiliş varken mutlaka alın! Cardiden, tansiyon sorunlarımdan tamamen kurtulmama yardımcı oldu.
Teşekkürler! Cardiden çok hızlı bir şekilde etkisini gösterdi! Üreticinin resmi web sitesinden siparişimi verdim! Tedaviyi geciktirmeyin. Daha sonra uzanıp bir daha asla hareket edemeyeceğinizi farketmektesne bu sorunlardan şimdi kurtulmak daha iyidir.
Teşekkürler. Siz olmasaydınız bu ürünün etkisine inanmazdım! 5 yıldan fazla süredir hipertansiyon sprunu olan bir eşim var. Çok acı çekti. Şimdi mi? Şimdi yine 18 yaşındaymış gibi ortalıkta dolaşıyor.
Dudu, ben teşekkür ederim. Lütfen söyler misin, tedavin ne kadar sürdü?
Saygılarımla, Burak Çelik.
Burak Hocam, yaklaşık 15- 20 gün sonra tansiyonumun sabit olarak ideal seviyede kaldığını fark etmeye başladım.
Anladım, teşekkür ederim.
Saygılarımla, Burak Çelik.
Sonuç basitçe beklentilerimi aştı. Tansiyonum 6 günde azalmaya başladı! Ve indirim yapıldığını görünce bir kutu daha sipariş ettim.
Bugün Cardiden'i sipariş verdim. Umarım en kısa sürede gelir. İndirimler başladı, acele edin! Resmi web sitesinde çok hızlı bir şekilde formu doldurdum, geri aradılar ve sipariş onaylandı. Sonunda huzur içinde yaşamanın ve yürümenin tadını çıkarmak istiyorum.
Kendim için aldım çünkü birkaç yıldır günlerim işkence içinde geçiyordu. Ne zaman yağmur yağsa veya hava değişse oluşan acıyı hayal bile edemezsiniz. Cardiden birkaç hafta içinde etkisini gösterdi. Bunun mümkün olabileceğini düşünmemiştim bile.
Bir tanıdığım Cardiden'i çok ciddi bir miktarla bir doktordan satın aldı, paraya yazık oldu. Burada indirimli olarak alabilirsiniz ve kesinlikle sahtekarlıkla karşılaşmazsınız. Hemen kendime birkaç adet sipariş ettim!
Hala eczaneler de satmaya çalışıyor. Bu şekilde insanlardan menfaat sağlamak ayıptır. Artık ürünü nereye ve kime gönderdiğimizin takipçisi olacağız. "
Saygılarımla, Burak Çelik.
Ben de resmi sitesinden sipariş verdim. Ciddi anlamda faydasını gördüm. Tansiyonla ilgili sorunlarınız varsa eğer şiddetle tavsiye ederim. Ayrıca hızlı bir şekilde teslim ettiler. Bana 3 günde geldi.
Makaleyi okudum ve hemen denemek için sipariş vermeye karar verdim. Gerçek şu ki geleneksel ilaçlar bana uzun süre yardımcı olmadı çünkü söylenene göre hipertansiyonun tedavisi bu yöntemlerle oldukça zor. Kargom ise çok hızlı geldi. Daha ilk gün olmasına rağmen kendimi o kadar rahatlamış hissediyorum ki buraya yazmadan edemedim. Çok teşekkür ederim. Artık en azından normal bir hayat yaşayabilirim!
Nereden satın aldığınızı söyleyebilir misiniz? Böyle bir ürün eczanelerde satılmaz ve internetten satın almaktan korkuyorum açıkcası.
Cardiden'i YALNIZCA resmi web sitesinden sipariş edilebileceğinizi bir kez daha tekrarlıyorum! Yanılmamak için hemen linke tıklamanız veya indirim kazanmaya çalışmanız yeterli! Şimdi Cardiden, tercihli program çerçevesinde indirimli olarak dağıtılıyor. Ancak program 0X.07.2025 kadar geçerli olacak. Bu yüzden siparişinizi vermek için acele etmeniz gerekecek. Lütfen taklitçilere ve sahte ürün satanlara karşı dikkatli olun!
Saygılarımla, Burak Çelik.