Analiză

Cum am scăpat de un nod de pe picior?
ÎN 2 SĂPTĂMÂNI

Jedusa

Bună dragă

Astăzi am să vă spun cum am scăpat de un nod de la degetul mare. A trebuit să suport cea mai dificilă operație și cele mai grave consecințe după ea și am scăpat de osul proeminent cu o simplă asociere

Pentru oricine are aceeași problemă, vreau să evit greșelile și să vă spun cum să scapi de valgus (vânătaie) fără intervenție chirurgicală. Totul este în regulă.

Piciorul meu la 1 lună după operație

Ce este hallux valgus?

Hallux valgus - este o boală caracterizată prin os proeminent, un nodul pe degetul mare. Cu hallux valgus, piciorul se deformează, cartilajul crește, ceea ce duce la deformarea și deplasarea osului..

Boala este însoțită de durere și disconfort în repaus. La mișcare, durerea se agravează uneori, este foarte greu să porți chiar și încălțăminte confortabilă...

Se pare ca exacerbarea valgus

Care sunt consecințele valgus?

Pe lângă durerea și disconfortul teribil, ca urmare a valgusului piciorului, întregul sistem musculo-scheletic este perturbat. Mai întâi mersul este deformat, apoi cartilajele și vertebrele, articulația genunchiului și articulația șoldului sunt dislocate. . Articulațiile sunt deformate.

Insidiositatea valgusului constă în faptul că poate fi mascat pentru o lungă perioadă de timp. Toate bolile care se dezvoltă împotriva lor apar treptat. Personal, nici nu credeam că durerile de spate și osteocondroza ulterioară au fost cauzate de haluce. valgus.

Osteocondroza, artrita, bursita, durerile articulare sunt cele mai inofensive boli cauzate de umflarea articulațiilor. Umflarea netratată va duce în cele din urmă la paralizie și invaliditate.

Pentru a preveni acest lucru, este important să luați măsurile adecvate la timp. Și acest lucru este departe de o intervenție chirurgicală, așa cum de obicei află medicii. Am verificat singur.

Intestin cauzat de valgus

Povestea mea

A început ca toți ceilalți și nu a prevestit bine. La început m-au durut picioarele, am obosit, uneori chiar s-au umflat. Apoi a venit porumbul care nu a dispărut mult timp.

După cum s-a dovedit mai târziu, a fost prima etapă de valgus, nu bataturi. Nu am mers mai puțin și nu am putut renunța la pantofii mei preferați, așa că s-a înrăutățit în timp.

Picioarele mele erau mai obosite, mă dureau când mă mișcam. Nici când mă odihneam, durerea nu trecea. Uneori mă trezeam și nu mai puteam să adorm.

Așa că m-am trezit dimineața ruptă și complet epuizată. În curând a început să-mi afecteze negativ locul de muncă, am început să am probleme cu superiorii mei și în cele din urmă a trebuit să renunț la serviciu.

Nu am gasit nimic nou pentru ca imi placea doar sa merg mult sau sa stau mult in picioare, si atunci cu greu puteam sa stau.

Am încercat tot felul de remedii de casă, tot felul de unguente, loțiuni etc. Toate aceste remedii au ajutat în cel mai bun caz la ameliorarea durerii pentru o perioadă scurtă de timp, dar în timp toate au devenit dependență.

Când l-am luat pe Ketanov (cine nu știe, este cel mai puternic analgezic) și nu mă mai ajută, am decis că trebuie să iau măsuri imediate și să merg la medic.

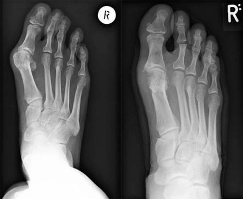
Raze X ale picioarelor înainte și după tratament

Operație pentru îndepărtarea osului din picior. După ce a făcut o radiografie, chirurgul a concluzionat tragic că este nevoie urgentă de o intervenție chirurgicală pentru îndepărtarea degetului strâmb. Degetul răsucit provocase deja complicații la articulațiile piciorului, din cauza căreia unele dintre ligamentele din interiorul piciorului au fost lezate, în curând ar începe necroza și, prin urmare, piciorul ar trebui amputat.

Și dacă mai înduri durerea pentru câteva luni, s-ar putea să-ți pierzi întregul picior deoarece procesul de necroză este ireversibil: țesuturile pur și simplu mor fără posibilitatea de recuperare.

Am fost atât de speriat și bineînțeles că am fost de acord cu operația. Dacă mi-ar fi spus la ce mă înscriu...

Piciorul meu la o lună după operație

Operația s-a făcut sub anestezie, după care nu m-am mai putut mișca o zi. Eram rău, aveam ochii lăcrimați, îmi învârtea capul. Nu m-am putut ridica de pe canapea, unde credeam. a fost cu mine, hipopotamii s-au odihnit trei zile.

O nevoie minoră putea fi îngrijită sub supravegherea unei asistente care arăta cu toată înfățișarea ei că nu-i place totul. Mi-a fost îngrozitor de rușine și de rușine. Un singur lucru: am scăpat de cei însângerați. os și acum pot să respir. Dar din păcate totul s-a dovedit mult mai complicat.

Așa m-am plimbat prin spital. A fost foarte dureros să merg...

Perioada de reabilitare

O săptămână mai târziu m-au lăsat să merg pe cont propriu. Tot timpul mă dor picioarele îngrozitor, analgezicele nu au ajutat cu greu. O săptămână mai târziu m-au trimis acasă, nu pentru că m-aș fi răscumpărat în cele din urmă, ci pentru că nu aveam cum să mă lase acolo gratis.

După două săptămâni în această "închisoare" am visat că mă voi spăla normal acasă și mă voi odihni în sfârșit. Bineînțeles, puteți să vă spălați piciorul doar împachetându-l în folie transparentă sau polietilenă, astfel încât apa nu pătrunde în cusăturile interne.

Am petrecut peste o lună în aceste ""moon rover"" îngrozitor de incomode

De asemenea, chiar și acasă, a trebuit să port pantofi speciali care mă împingeau din toate părțile și erau teribil de incomod. Toate mișcările încă duau, dar am perseverat...

Doctorul a spus că intervenția chirurgicală va îndepărta definitiv valgusul. Din păcate, asta este o minciună și cea mai mare dezamăgire a mea...

Valgus după operație

Mi-au trebuit trei luni până când picioarele nu mă mai doare. Desigur, bucuria a fost de scurtă durată. După șase luni, durerea a revenit și odată cu ea umflarea, pe care aproape am confundat-o din nou cu un calus.

Doctorul mi-a confirmat ipoteza și doar a ridicat din umeri la întrebarea mea nedumerită, cum este posibil acest lucru. Totul pare să meargă așa cum își dorește. În plus, dacă se întoarce la vechiul mod de viață, problema va s-a intamplat din nou.

Picioarele mele la o lună după operație

Cuvintele lui m-au făcut să vreau să urlu, nu m-am putut abține să nu plâng în biroul lui... La urma urmei, chiar dacă operația nu garantează o recuperare completă, înseamnă că va trebui să suport aceste teribile. condiții pentru tot restul vieții, sunt epuizanți... și chiar își iau rămas-bun de la picioare...

Conspirație medicală

M-am gândit la asta tot drumul și aceste gânduri mi-au făcut atât de rău încât aproape că am leșinat. Picioarele îmi erau uscate, ochii întunecați. A trebuit să stau pe prima bancă care mi s-a întâmplat.

O bătrână a venit la mine, mi-a dat apă și s-a oferit să mă conducă acasă. Am început să vorbim. Până la urmă i-am spus totul: despre eșecurile mele în viața personală, despre muncă și despre operație.

Când am aflat de problema mea, interlocutorul meu s-a simțit și mai bine. Se dovedește că a lucrat ca chirurg toată viața, iar când s-a pensionat, a fost pur și simplu concediată pentru că nu a respectat sistemul.

Picioarele mele la 9 luni după operație

În fiecare an, experți din diferite țări dezvoltă instrumente pentru a rezolva o problemă specifică. Dar puțini dintre ei ajung la pacienți, chiar dacă este un medicament foarte bun și de înaltă calitate.

Motivul este că medicii primesc un anumit procent pentru fiecare operație. Și dacă vă amintiți salariile medicilor noștri, este clar de ce trimit fiecare a doua persoană la operație, în loc să prescrie fonduri...

Dacă nu operație, atunci ce?

Noul meu prieten mi-a spus că acum 10 ani au lansat un medicament uimitor care poate vindeca o tumoare în câteva săptămâni fără operație sau alte manipulări.

Secret din partea autorităților, ca medic harnic, ați prescris pacienților dumneavoastră FORTU FLEX, un medicament care îndepărtează rapid și eficient unghiile încarnate de la picioare.

Nu s-a vândut în farmacii, a fost foarte greu de obținut, dar se poate. Acum încă nu este permis în lanțurile de farmacii, dar odată cu apariția internetului este mult mai ușor: acum poate comanda un preparat medicinal online și la reducere.

Noua mea iubită a insistat absolut să folosesc acest produs, în principal pentru că prețul era foarte atractiv și efectul, așa cum am promis, pur și simplu m-a uimit.

Inspirat de poveștile unui mare medic, m-am grăbit acasă și am rezervat imediat FORTU FLEX.

Recuperare

Medicamentul pentru nodul de pe picior este disponibil sub formă de unguent. Trebuie aplicat de două ori pe zi, dimineața și seara.

Am folosit produsul pentru prima dată înainte de a merge la culcare. Durerea a dispărut imediat! A dispărut și umflarea. Prima noapte după mult timp am dormit ca o persoană normală și nu am mai dormit . Niciodata!

După o săptămână, tumora a început să se micșoreze, iar după două săptămâni a dispărut complet. Degetul mare a revenit treptat la locul său și până la sfârșitul cursului s-a stabilizat complet! Fetelor, nu-i așa că este o minune ?

Așa arată picioarele mele la un an după ce am folosit FORTU FLEX

Câți bani am irosit pe aceste unguente stupide inutile ca laptele de capră... Câte lacrimi am vărsat în secția de spital, câtă durere am suferit, nu-i doresc dușmanului...

Cine știa cât de recunoscător îi sunt destinului că am întâlnit-o pe drum pe Tatiana Vasilievna, o femeie care mi-a spus despre acest medicament și mi-a salvat literalmente viața!

După ce am trecut prin toate cercurile iadului cu bietul meu ginere, am decis că, dacă sistemul nostru de sănătate nu ne permite să luăm aceste măsuri, să ne ajutăm unii pe alții.

Unde pot găsi FORTU FLEX?

Dacă suferiți și de bunion sau vă gândiți la o intervenție chirurgicală, vă recomand să încercați mai întâi FORTU FLEX. Dar dacă m-a ajutat în această etapă târzie, cred că te poate ajuta și pe tine.

Am comandat acest lucru direct de la producător. Producătorul a lansat o acțiune pentru a cumpăra FORTU FLEX cu reducere. Fii bine în curând!


Încercați-vă norocul! Faceți clic pe una dintre uși! Încercați să obțineți o reducere la FORTU FLEX
Această promoție este valabilă până la... inclusiv. 2022 prezis inclusiv.
Au câștigat deja o reducere, și tu poți!
Nume
Reducere
Antony
Am câștigat o reducere de 40%
Benoit
Am câștigat o reducere de 50%
Kassian
Am câștigat o reducere de 35%
hortensii
Am câștigat o reducere de 10%

Ghici care ușă este în stânga

img

Tot ce trebuie să faceți este să vă introduceți numele și numărul de telefon
Grăbește-te! Ai timp liber:
10:00

798 MDL
399 MDL

Puteți revendica articolul pentru

OK

Comentarii

Zdenka Pirc

Cine a încercat? Spune-mi, ajută? Am decis să-mi comand mamei și mie pentru profilaxie, nu va strica!

Alenka Toplak

Am comandat recent, maine o iau si platesc pe loc. Vecina e multumita, zice ca dupa 2 saptamani totul e ok, e in functiune!

Rosa

Am primit comanda mea acum o saptamana, o folosesc acum si singurul meu regret este ca nu am stiut mai devreme despre aceasta metoda. In general, o recomand oricui are aceeasi problema.

Jelka Nikolic

Fetelor, este grozav!!! După 10 zile, nu au mai rămas oase! Sunt atât de fericit)))


Oranka

Dă bani doar pentru colectare, fii curajos, comandă acum, poți oricând refuza o comandă și nu cred că va trebui să refuzi

Soldul Marjanei

Fetele, mi-am facut programare, fac tratament de 2 saptamani, sunt dansatoare si este o sarcina mare pentru mine sa strălucesc cu toată frumusețea mea pe scenă. A adus doar disconfort estetic , a însemnat sfârșitul carierei mele. Am dat peste FORTU FLEX; l-am văzut la un prieten. L-am întrebat ce este și mi-a spus totul. Am încercat. Sincer să fiu, am nu ma asteptam la asemenea rezultate. Credeam ca s-a terminat, la revedere balet, la revedere dans.

Sysel

Uite, nu m-am gândit niciodată că FORTU FLEX poate funcționa atât de bine... L-am comandat cu rezervă, dar m-a ajutat foarte mult. V Sunt șocat, în șoc plăcut!


Klara Kovacic

Când eram mică, lucram ca secretară într-o companie foarte prestigioasă. Și ca toate fetele de atunci, a încercat să fie cât mai elegantă. Fusta este mai scurta, tocurile mai lungi, capul mai voluminos, machiajul mai lejer.Acum am inteles ca aratam prost,dar pe atunci eram bine alergand in sus si in jos pe scari in tocuri inalte.S-a ajuns la obiect. unde purtam papuci la 40 de ani. Am facut cataplasme, am folosit radacina de brusture. Nu a ajutat. Când am cumpărat href="#form">FORTU FLEX, nu credeam că mă va ajuta cu nimic. În mod uimitor, mă simt mai bine acum decât în ultimii 10 ani, iar osul a dispărut aproape complet


Toini

L-am comandat. Chiar vreau să-l încerc! Rezultatele vor fi postate mai târziu***

În direct

Pazesco! Chiar te simti mai bine decat in prima zi?

Neza Popović

Da, diferența este vizibilă din prima zi. Ești mai puțin obosit și apoi, în general, uiți că ceva se schimbă și FORTU FLEX își face treaba acum.

Anže Mlinaric

Genial! Trebuie să comand acest os care deja mă deranjează!

Nadia Knez

M-am operat și eu acum 5 ani. La început mi s-a părut nimic, dar apoi totul a început din nou. Mă dor articulațiile, mă cresc oasele, nu pot merge. Am încercat să găsesc ceva util pe Internet , de asemenea, cand se scrie de obicei prostiile astea. Se recomanda ou sau sare. Nu am vrut sa mai intru sub cutit. Am gasit un articol asemanator, am incercat FORTU FLEX < /a> , m-a ajutat foarte repede. Acum il folosesc doar o data pe an sase luni profilactic. Iata rezultatul.

Hermina Kastelic

Întregul coșmar este că, dacă ai denivelări în picioare, nu poți purta pantofi. OK, tocuri, dar nici măcar nu poți purta cizme obișnuite cu platformă. Deștept apoi șchiop. Vară? Eu personal, eu de obicei, nu aș putea merge pe stradă, deoarece frumusețea este vizibilă pentru alții. Am văzut acest articol comandat FORTU FLEX pe site-ul producătorului, așa cum este recomandat. primele efecte au fost impresionante: piciorul era deja nu doare. Abia astept sa aflu ce se intampla in continuare.

Milica Kotnik

Sunt chelneriță, sunt mereu pe picioare. Politica cafenelei este bluză, fustă și tocuri. Lucrez în fiecare zi de la 16:00 până la 3:00. Mi-am cântărit picioarele. A apărut un os, picioarele au început să mă doară. Am comandat să fiu FORTU FLEX. Până când am încercat, m-am gândit că ar trebui să renunț. Dar am studii Da dragă, dacă nu ar fi acest drog, aș uita de educație și aș trăi pe stradă.

Maria de Sud

Fetelor, am citit recenziile voastre si am comandat cu curaj! MULTUMESC!

Erika Kocevar

Fetelor, povestea tuturor pare să fie aceeași. Și am acest rahat ereditar. Mama a avut-o, bunica a avut-o. tocuri până când am încercat FORTU FLEX. În ultima vreme port sandale cu pană, merg normal.